Entwarnung auch beim Rumpf-CT
Als nächstes folgt die Computertomographie, das CT meiner inneren Organe. Denn besonders auch Lunge oder Leber wären potentielle Orte für Metastasen. Und wieder bin ich nervös, voller Angst vor einem weiteren Schlag.
Ich erhalte eine Infusion mit Kontrastmittel und werde in die Röhre gefahren, eine Art futuristisch anmutenden Donut. Der erste Gang ist unproblematisch, beim zweiten Gang soll ich die Arme hinter meinem Kopf ablegen und still halten, was ein wenig unbequem ist. Dann ist die Prozedur nach einer knappen halben Stunde auch schon wieder vorbei.
Während wir im Wartezimmer der Radiologie auf die Auswertung warten, konzentriere ich mich auf meine Atmung. Angespannte Stille.
Ergebnisse des CT
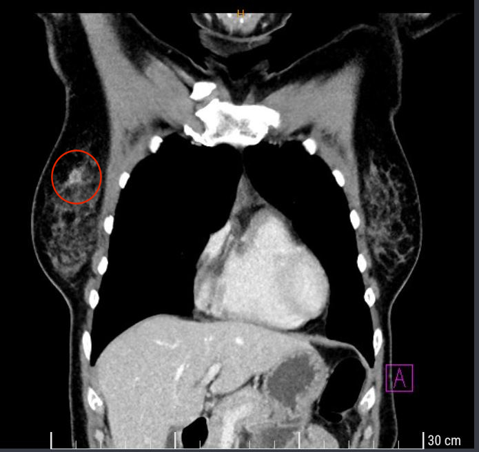
Dann ruft mich der Arzt zu sich ins Büro. Wie ich wahrscheinlich schon weiss, befindet sich in meiner rechten Brust ein 13 mm im Durchmesser messender annormaler Bereich, ein Tumor. Daneben sieht meine Lunge top aus. Galle, Bauchspeicheldrüse, Milz und Nieren seinen unauffällig und metastasenfrei. Ich habe zwar eine Fettleber (!?), aber ohne Metastasen. Auch gynäkologisch keine Auffälligkeiten.
Ich wäre ihm am liebsten an den Hals gesprungen, so erleichtert bin ich. Ich bedanke mich und erzähle draußen Alex und unserer Tochter die frohe Botschaft. Da öffnet sich die Tür des Arztes wieder… ich möge bitte nochmals zu ihm hereinkommen. Nervös stehe ich vor ihm.
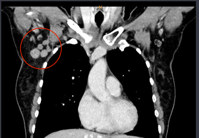
Er hätte vergessen: In der rechten Achsel zeigten sich mehrere bis zu 20 mm im Durchmesser
messende Lymphknoten, hier muss sicher primär von einer Metastasierung ausgegangen werden.
Er zeigt auf den Bildschirm. Ja, das hatte ich ja bereits befürchtet. Auf den Aufnahmen des CTs kann man ziemlich deutlich Brustkrebs und die betreffenden Lymphknoten erkennen, die dagegen auf der linken Seite unsichtbar sind.
Ich und das schlimme Wort mit K
9. Ganzkörper-Skelett-Szintigraphie



